The Twin Block technique - Dr. W.J. Clark
- yourlifestylehk

- Dec 4, 2021
- 1 min read
Updated: Feb 19, 2022
Functional Correction of Malocclusion
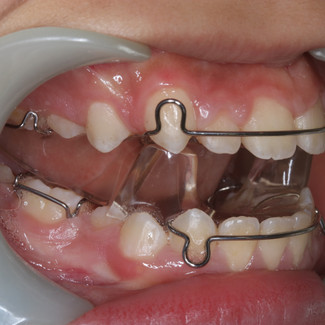
Twin Block appliances are simple bite blocks that are designed for full-time wear. They achieve rapid functional correction of malocclusion by the transmission of favorable occlusal forces to occlusal inclined planes that cover the posterior teeth. The forces of occlusion are used as the functional mechanism to correct the malocclusion.
3 Months Treatment Changes
Before treatment, this patient has the typical listless appearance, of much severe Class II division 1 malocclusions, evident in the dull appearance of the eyes and poor skin tone. After only 3 months of treatment, the patient undergoes a dramatic change in facial appearance. She appears more alert and there is a marked improvement in the eyes and complexion.
This is a fundamental physiological change, extending beyond the limited objective of correcting a malocclusion.
Summing up (in short):
Class II Div.1 deep bite patients, with a 2mm clearance construction bite, will give a 5-6mm opening at the first premolar region which is the favorable construction for those patients.
Class II Div.2 deep bite patients, however, should have edge to edge and contact anteriorly. This will give the 5-6mm opening at the first premolar region. In those patients, 0mm of interincisal clearance and incisal contact at edge to edge should be the aim.
Lastly at anterior open bite, Class II patients, in order to achieve a 5-6mm opening at the premolar region, the interincisal clearance should be increased. For example in a 2mm anterior open bite patient, a 4mm anterior clearance should be optimal.










Comments